Últimos avances en la odontología moderna
![[Img #67473]](upload/img/periodico/img_67473.jpg)
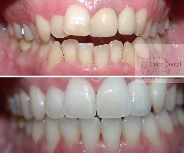
El cuidado de la salud dental no se limita a lucir una sonrisa perfecta o a una cuestión meramente estética, ya que es ampliamente conocida la importancia de una correcta atención de nuestra boca como principio básico del cuidado general de la salud de todo el cuerpo.
De ahí la importancia de visitar especialistas como los de la Clínica Dental Urbina para mantener una perfecta atención especializada y profesional de nuestros dientes y encías con las últimas tecnologías en implantología y alineamiento dental.
A la hora de buscar el mejor implantólogo en Salamanca, es imprescindible pasarnos por la consulta de estos profesionales en el cuidado dental con amplia experiencia y una constante actualización de las técnicas que se aplican en sus tratamientos.
Uno de los tratamientos odontológicos más demandados es la implantología, rama de esta especialidad que se dedica a los tratamientos para la reposición de las piezas perdidas mediante los implantes dentales, ya que es el mejor tratamiento para solucionar la sustitución de los dientes y muelas que hemos perdido por cualquier motivo.
Las últimas técnicas en implantología emplean tornillos de titanio y materiales que no generan rechazo alguno por parte de nuestro organismo, que simulan las raíces de los dientes naturales, lo que ofrece una fijación perfecta, en contrapartida a las dentaduras postizas removibles.
Los tornillos sirven de base para colocar los implantes dentales, elaborados con materiales cerámicos de gran resistencia, que imitan a la perfección el esmalte dental natural, recuperando la sonrisa sin preocupaciones.
Alineamiento dental invisible
Una de las principales novedades en el alineamiento dental es el tratamiento Invisalign, una avanzada técnica mediante la que se consigue un alineamiento perfecto de manera prácticamente invisible. Mediante imágenes en 3D por ordenador se establece un tratamiento completo, en el que se marca la progresión desde la posición iniciar de los dientes hasta lograr reposicionarlos en la alineación ideal.
Los aligners Invisalign mueven los dientes siguiendo una serie de movimientos cuidadosamente controlados y programados, moviendo en cada una de las etapas del tratamiento únicamente el movimiento de los dientes programados en el plan de tratamiento en esa etapa concreta.
Los aligners de Invisalign son prácticamente invisibles y casi nadie notará que está enderezando sus dientes, contrariamente a los dispositivos actuales como alambres o brackets metálicos. El uso de estos dispositivos es extremadamente cómodo, ya que permite al usuario quitárselos para comer o beber, cepillarse, usar hilo dental y realizar sus rutinas de higiene bucal.
Como los aligners de Invisalign son extraíbles, durante el tratamiento podrá comer y beber todo lo que desee simplemente quitándose los aligners. También puede quitarse los aligners para cepillarse y usar hilo dental y así mantener su rutina de higiene oral habitual. Tan solo se recomienda al paciente llevar puestos los aligners durante al menos 22 horas al día para que el tratamiento sea efectivo y se logre el alineamiento deseado, precisando además de menos ajustes que los tratamientos habituales hasta la fecha.
![[Img #67473]](upload/img/periodico/img_67473.jpg)
El cuidado de la salud dental no se limita a lucir una sonrisa perfecta o a una cuestión meramente estética, ya que es ampliamente conocida la importancia de una correcta atención de nuestra boca como principio básico del cuidado general de la salud de todo el cuerpo.
De ahí la importancia de visitar especialistas como los de la Clínica Dental Urbina para mantener una perfecta atención especializada y profesional de nuestros dientes y encías con las últimas tecnologías en implantología y alineamiento dental.
A la hora de buscar el mejor implantólogo en Salamanca, es imprescindible pasarnos por la consulta de estos profesionales en el cuidado dental con amplia experiencia y una constante actualización de las técnicas que se aplican en sus tratamientos.
Uno de los tratamientos odontológicos más demandados es la implantología, rama de esta especialidad que se dedica a los tratamientos para la reposición de las piezas perdidas mediante los implantes dentales, ya que es el mejor tratamiento para solucionar la sustitución de los dientes y muelas que hemos perdido por cualquier motivo.
Las últimas técnicas en implantología emplean tornillos de titanio y materiales que no generan rechazo alguno por parte de nuestro organismo, que simulan las raíces de los dientes naturales, lo que ofrece una fijación perfecta, en contrapartida a las dentaduras postizas removibles.
Los tornillos sirven de base para colocar los implantes dentales, elaborados con materiales cerámicos de gran resistencia, que imitan a la perfección el esmalte dental natural, recuperando la sonrisa sin preocupaciones.
Alineamiento dental invisible
Una de las principales novedades en el alineamiento dental es el tratamiento Invisalign, una avanzada técnica mediante la que se consigue un alineamiento perfecto de manera prácticamente invisible. Mediante imágenes en 3D por ordenador se establece un tratamiento completo, en el que se marca la progresión desde la posición iniciar de los dientes hasta lograr reposicionarlos en la alineación ideal.
Los aligners Invisalign mueven los dientes siguiendo una serie de movimientos cuidadosamente controlados y programados, moviendo en cada una de las etapas del tratamiento únicamente el movimiento de los dientes programados en el plan de tratamiento en esa etapa concreta.
Los aligners de Invisalign son prácticamente invisibles y casi nadie notará que está enderezando sus dientes, contrariamente a los dispositivos actuales como alambres o brackets metálicos. El uso de estos dispositivos es extremadamente cómodo, ya que permite al usuario quitárselos para comer o beber, cepillarse, usar hilo dental y realizar sus rutinas de higiene bucal.
Como los aligners de Invisalign son extraíbles, durante el tratamiento podrá comer y beber todo lo que desee simplemente quitándose los aligners. También puede quitarse los aligners para cepillarse y usar hilo dental y así mantener su rutina de higiene oral habitual. Tan solo se recomienda al paciente llevar puestos los aligners durante al menos 22 horas al día para que el tratamiento sea efectivo y se logre el alineamiento deseado, precisando además de menos ajustes que los tratamientos habituales hasta la fecha.













